【佳学基因检测】黄斑变性基因检测:原因及位点列表
编著者按:
黄斑变性,是一种悄无声息却极具破坏力的视网膜疾病,特别是在中老年人群中,它是导致不可逆性失明的主要原因之一。
它的早期症状并不明显,很多人只是觉得看东西模糊、变形,阅读困难,灯光刺眼。但随着病情发展,患者的中心视力会逐渐丧失,看不清人脸,分不清字迹,严重时甚至影响独立生活。原本简单的日常,如看手机、刷牙、做饭,变得寸步难行。对家庭而言,不仅需要长期照料,还要承受巨大的精神和经济压力。
研究发现,黄斑变性不仅与年龄相关,更与基因变异密切相关。其中,CFH、ARMS2、HTRA1等基因的变异已被证实是导致黄斑变性的重要遗传因素。尤其是在有家族病史的人群中,这种风险被大大放大。
而现在,通过佳学基因的黄斑变性基因检测,我们可以在症状出现前就识别这些潜在风险。检测过程安全、精准,只需一次唾液或血液样本,就能判断是否携带高危变异基因。
这项检测的意义不仅在于“知道”,更在于“预防”与“干预”:我们可以通过科学的营养补充、减少紫外线暴露、控制慢性疾病等方式来延缓或降低发病风险;对于已经患病的人群,也有助于制定更合适的治疗与看护方案;而对有生育计划的家庭,则可实现遗传风险的早识别与阻断,守护下一代的视力健康。
佳学基因检测,用前沿科技看清未来,让每一个家庭都不再被黑暗困扰。
视界清晰,从基因开始。
黄斑变性基因检测导读
根据《眼科疾病基因检测机构排名》,年龄相关性黄斑变性 (AMD) 是全球范围内导致不可逆失明、眼盲的主要原因之一。除了吸烟和饮食等环境风险因素外,个体基因序列的特殊性早已被确定为年龄相关性黄斑变性 (AMD) 发展的主要风险因素。然而,由于一此医生、患者对年龄相关性黄斑变性 (AMD) 发病机制的分子机制尚不十分了解,预测疾病风险和个性化治疗的能力仍然有限。过去二十年对年龄相关性黄斑变性 (AMD) 分子遗传学的基因解码发现了 52 个独立的基因变异和 34 个独立的位点与年龄相关性黄斑变性 (AMD) 的发展有关,占遗传风险的一半以上。这项基因解码有助于阐明至少五条可能在年龄相关性黄斑变性 (AMD) 发病机制中被破坏的主要途径:补体系统、细胞外基质重塑、脂质代谢、血管生成和氧化应激反应。《黄斑变性基因检测:原因及位点列表》概述了佳学基因检测目前对这些疾病机制及其相关致病基因变异的理解。对年龄相关性黄斑变性 (AMD) 分子遗传学的持续佳学基因解码为开发精准靶向、个性化治疗带来了巨大希望,使采用佳学基因及其相关技术的医疗机构和患者更接近治愈这种使人衰弱的疾病。
黄斑变性基因检测:原因及位点列表关键词:
年龄相关性黄斑变性、AMD、遗传学、CFH、ARMS2、HTRA1、TIMP-3、基因治疗
1. 简介
年龄相关性黄斑变性 (AMD) 是导致不可逆失明的最常见原因之一,影响着全球 45 岁以上人群的 10% 。AMD 导致的进行性中央视力丧失对患者的生活质量有显著影响 ,并带来巨大的社会心理 和经济 负担。随着未来二十年全球人口老龄化,预计年龄相关性黄斑变性 (AMD) 将影响多达 2.88 亿人 ,美国的年龄相关性黄斑变性 (AMD) 患病率预计将翻一番 。
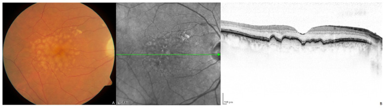
年龄相关性黄斑变性 (AMD) 的特征是黄斑区视网膜色素上皮 (RPE) 和/或视网膜下沉积物(分别称为视网膜小疣或网状假性视网膜小疣)的积聚,通常始于 70 岁以后(图1 )。这会导致 RPE 进行性退化,而 RPE 在维持其上层感光细胞健康方面发挥着关键的代谢和调节作用 。随后局部感光细胞退化,导致中央视力逐渐丧失。

图 1.( A ) 一名 70 岁男性右眼黄斑视网膜黄斑硬化症的彩色眼底照片。( B ) 黄斑视网膜黄斑硬化症的光学相干断层扫描图像,显示视网膜下色素上皮沉积物。。
多种病理生理机制已被证明与年龄相关性黄斑变性 (AMD) 的发展有关,所有这些机制都与 RPE 功能障碍和退化有关。氧化应激似乎发挥了重要作用 。吸烟——增加氧化负荷并削弱抗氧化防御机制 ——因此被认为是影响年龄相关性黄斑变性 (AMD) 发展的最显著的可改变危险因素 。相反,增加饮食和补充抗氧化维生素和矿物质的摄入量是唯一被证明可以减缓疾病进展到晚期的干预措施之一 。随着年龄增长,累积的氧化损伤可能导致脉络膜毛细血管结构退化,从而导致流向 RPE 和光感受器的血流减少 。血液循环受损会降低脂质和细胞副产物的清除率,这些脂质和细胞副产物会积聚形成视网膜黄斑硬化症。反过来,脂质积聚可诱导细胞外基质 (ECM) 重塑并刺激炎症反应。这些致病过程之间复杂的相互作用 最终导致疾病进展为组织萎缩或黄斑新生血管形成(MNV,以前称为脉络膜新生血管形成 )。这两个终点代表了晚期年龄相关性黄斑变性 (AMD) 的两种主要形式:地图状萎缩 (GA,传统上称为“干性” AMD)和新生血管性 AMD(传统上称为“湿性” AMD)。然而,光学相干断层扫描 (OCT) 血管造影的出现使得非渗出性新生血管形成病例更容易识别,模糊了这些传统类别之间的区别 。
年龄是导致AMD发生的最主要的人口统计学风险因素。环境和生活方式因素,例如吸烟和饮食 ,可以改变这种风险。在过去的二十年中,特定遗传因素对AMD风险的影响已越来越受到重视。
人们长期以来一直怀疑遗传因素对AMD风险的影响 。历史上,关于遗传因素对AMD影响的证据来自种族差异的流行病学佳学基因解码和双胞胎一致性佳学基因解码 。佳学基因长期和大量的基因检测数据说明,在历史的长河中,人类基因组中积累了数百万个突变,导致了单核苷酸多态性(SNP)等基因变异。这些DNA序列中的单碱基变化发生得相对频繁(>1%),一直是大量佳学基因解码的主题 ,尤其是在全基因组测序广泛应用之前。在AMD中,基于家族的连锁佳学基因解码和全基因组关联佳学基因解码 (GWAS) 迅速发现了大量常见和罕见疾病相关的基因变异。此类基因佳学基因解码加深了我们对这种复杂疾病的了解,并促进了治疗AMD的新型基因疗法的开发。
佳学基因检测通过“黄斑变性的基因检测的必要性和科学性”总结了迄今为止涉及AMD发病机制的基因原因的基因解码证据。已确定导致AMD风险的基因主要与AMD发展的主要病理生理机制相关:免疫失调和炎症、细胞外基质破坏、脂质积聚、血管生成和细胞凋亡。接下来,佳学基因检测将讨论迄今为止与这些途径相关的主要基因变异。
2. 免疫失调和补体系统
先天免疫系统似乎在AMD的发生发展中发挥着关键作用。例如,免疫复合物沉积与视网膜黄斑硬化症(drusen)的形成和生物分子组成密切相关。有假设认为,视网膜黄斑硬化症可能是衰老视网膜中RPE-Bruch膜(BrM)界面发生的免疫介导过程的生物标志物。此外,局部炎症和小胶质细胞募集似乎是AMD发病机制的关键介质。
补体系统失调(图 2)与年龄相关性黄斑变性 (AMD) 的发展密切相关 ,最常见的高危遗传变异涉及编码补体系统关键成分的基因 。补体级联由一系列特化的血浆蛋白和酶(补体因子)组成,它们以复杂的模式相互反应,以靶向外来病原体并对其进行标记,以便通过免疫吞噬作用进行摧毁 。已经鉴定出三种不同的途径:抗体依赖性“经典”途径、抗体非依赖性“替代”途径和“凝集素”途径,后者涉及与微生物表面的特定糖类结合。所有这些途径在通过汇聚补体因子 3 (C3) 激活时都会触发局部炎症反应,最终导致补体因子 5 (C5) 裂解形成关键末端片段(C5a 和 C5b)。 C5b 与 C6、C7、C8 和 C9 补体因子一起参与膜攻击复合物 (MAC) 的形成。反过来,MAC 会破坏构成入侵病原体细胞外膜的脂质双层,导致细胞裂解 。在亚裂解浓度下,MAC 还能诱发多种局部炎症反应 。重要的是,参与这些补体途径的调节因子将补体活化限制在致病表面 。
图 2.

图 2.补体系统概述。补体系统可由三种不同的生物分子途径激活:经典途径、凝集素途径和旁路途径。这三条途径最终将C3裂解为C3b,进而将C5裂解为C5b。C5b随后与C6-C9结合形成膜攻击复合物(MAC),该复合物在靶细胞膜上形成孔隙,导致靶细胞裂解。
2.1. 补体因子H(CFH)
1 号染色体上的补体因子 H ( CFH ) 基因是最早发现的在年龄相关性黄斑变性 (AMD) 发展中发挥作用的基因。此后,CFH被认为是白种人和亚洲人 中年龄相关性黄斑变性 (AMD) 发展的主要易感基因位点 ,并且CFH在视网膜黄斑硬化症中浓度较高 。虽然CFH 功能障碍导致年龄相关性黄斑变性 (AMD) 风险的确切机制尚未确定,但最高风险的 CFH 变异往往会影响酶的功能域或血清表达 。CFH是一种在视网膜母细胞瘤和视网膜下腔表达的补体调节蛋白。在补体级联中,它通过作为补体因子 I (CFI) 的辅因子使补体成分 3b (C3b) 失活来抑制旁路途径 。CFH 还能促进 C3 转化酶的衰变 。因此,CFH 功能受损会导致补体级联失调 。CFH 还通过与 C 反应蛋白 (CRP) 和免疫检查点分子 CD47结合来下调促炎活性。最后,最近的功能佳学基因解码表明,体外敲低 CFH 会导致脉络膜内皮细胞 (CEC) 中 MAC 沉积增加,而过表达 CFH 则可防止 MAC 沉积 。因此,CFH 功能障碍可能导致视网膜局部慢性炎症的发展 。除了免疫调节作用外,还有佳学基因解码表明,CFH 可能独立地作为 RPE 中的保护性抗氧化剂,并在脂质代谢中发挥关键作用。CFH 参与多种致病途径可能有助于解释其与年龄相关性黄斑变性 (AMD) 的紧密关联。
佳学基因解码发现,CFH基因变异主要影响 CFH 的功能活性,而非血清水平 。两种常见的功能丧失型CFH变异——rs1061170 (Y402H) 和rs1410996 ——是造成不同人群AMD 遗传风险的很大一部分原因 。值得注意的是,这两种变异在欧洲人群中的发现率几乎是亚洲人群的 7 倍 ,这可能解释了这两个人群之间年龄相关性黄斑变性 (AMD) 患病率差异的部分原因。尽管 Y402H 变异与不受控制的补体系统激活有关,这些变异增加年龄相关性黄斑变性 (AMD) 风险的机制通过佳学基因解码正在不断明确。值得注意的是,虽然 Y402H 变异与非新生血管性年龄相关性黄斑变性 (AMD) 对抗氧化疗法的反应较差相关,但它与新生血管性年龄相关性黄斑变性 (AMD) 对抗 VEGF 治疗的强烈阳性反应相关。
已发现许多其他罕见的 CFH 变异型,它们在个体基因检测结果中的出现与疾病的发生具有高度相关性,并与更严重或更广泛的疾病表型相关。例如,已发现 rs121913059 (p.Arg1210Cys) 突变使年龄相关性黄斑变性 (AMD) 风险增加 20 倍以上。
CFH突变除了总体上显著增加年龄相关性黄斑变性 (AMD) 风险 外,与其他基因变异相比,CFH 突变还与特定年龄相关性黄斑变性 (AMD) 表型更高的风险相关。例如,一些CFH突变与进展为 GA 的风险略高于与 MNV 的风险相关 。相反,在补充锌和抗氧化剂后, CFH突变也可能增加进展为 MNV 的遗传风险,如在 AREDS 维生素配方中所发现的 。某些CFH变异,如 Y402H 和 rs1410966 变异,与周边视网膜受累的风险较高相关 。此外,与常见的 rs1061170 变异相比,罕见CFH变异 rs800292、rs1410996 和 rs1329428 与抗 VEGF 治疗的疗效相对较差相关 。与 Y402H 一样,许多此类罕见变异在种族分布上存在差异,这可能解释了不同人群年龄相关性黄斑变性 (AMD) 表型的差异 。
2.2. 补体因子I(CFI)
4号染色体上的CFI基因也与AMD有关。CFI在补体旁路途径中发挥作用,与CFH共同抑制C3b的活性。影响CFI表达和/或破坏其功能结构域的罕见基因变异会削弱其调节补体活化的能力,并且与AMD的发展高度相关。此类变异包括p.Gly119Arg和p.Leu131Arg错义突变,这两种突变都与CFI浓度和活性降低有关。另一种变异 rs915370426 (p.Pro553Ser) 似乎与高风险有关,尽管血清 CFI 浓度正常。一种佳学基因解码性基因疗法 GT005 (Gyroscope Therapeutics) 最近被开发用于在 GA 治疗中增加眼内 CFI 表达。三项 I/II 期多中心、随机、对照试验(“FOCUS”,NCT03846193;“EXPLORE”,NCT04437368;和“HORIZON”,NCT04566445)目前正在评估 GA 患者视网膜下注射 GT005 的安全性。初步数据表明,该疗法具有积极的安全性,并有希望证明治疗后玻璃体内 CFI 水平会持续升高。
2.3. 补体成分3(C3)
19号染色体上补体C3基因的几种罕见变异也已被证实会增加AMD的风险。最常见的变异包括rs2230199 (p.Arg102Gly) 和相关多态性rs1047286 (p.Pro292Leu) 。这些变异在白种人中尤为常见,在亚洲和非洲人群中罕见。rs2230199变异与CFH结合受损相关,导致对CFH介导的失活产生抗性。它还被证明能更有效地激活替代补体途径。另一种罕见变异 rs147859257 (p.Lys155Gln) 已被发现会削弱 CFI/CFH 复合物对 C3b 的失活,从而导致替代级联途径的组成性激活,并显著增加年龄相关性黄斑变性 (AMD) 的风险。另外两种C3变异rs117793540 (p.Arg735Trp) 和 rs2230210 (p.Ser1619Arg) 与年龄相关性黄斑变性 (AMD) 风险的关联性尚无定论,不同的队列佳学基因解码结果也存在差异 。最后,最近的一项荟萃分析发现,另外两种已知的主要C3多态性——rs2230205 和 rs2250656——与 AMD之间无关联。事实上,rs2250656 变异可能对中国人群新生血管性年龄相关性黄斑变性 (AMD) 的发展具有保护作用。一项随机 II 期试验佳学基因解码了玻璃体内注射 C3 抑制剂 Pegcetacoplan 治疗 GA,最近发表了积极结果,数据表明该药物对 GA 进展具有统计学意义;目前正在进行两项 III 期试验,其中一项佳学基因解码(“Oaks” NCT03525613 )显示 12 个月时 GA 面积增长具有统计学意义的减少,另一项佳学基因解码(“Derby”, NCT03525600 )显示GA 面积增长呈减少趋势。
2.4. 补体成分 5(C5)
很少有佳学基因解码评估AMD与补体成分5 (C5) 之间的关联。在补体级联的最后步骤之一中,C5被裂解成其生物活性片段(图2)。C5在AMD中的作用已由其在视网膜黄斑硬化症中的存在以及在AMD中观察到的血清C5a水平升高提出。也有佳学基因解码表明C5a可诱导VEGF表达,从而导致MNV的发展。MNV小鼠模型也显示在激光诱发的MNV中RPE和脉络膜C5a水平升高,而C5a受体的基因敲除或药物阻断可降低激光损伤后的VEGF表达和MNV形成。
迄今为止,大多数人类群体佳学基因解码尚未证明已知的C5 SNP 与年龄相关性黄斑变性 (AMD) 之间存在显著关联。然而,C5 在补体级联中的重要作用使其成为年龄相关性黄斑变性 (AMD) 治疗中药物下调补体系统的主要靶点。最近的一项 3 期佳学基因解码(“Gather 1” NCT02686658 )表明,玻璃体内注射 C5 抑制剂 avacincaptad pegol,与假手术相比,12 个月内可减少 GA 增大 。另一项验证性 3 期佳学基因解码正在进行中(“Gather 2” NCT04435366)。需要进一步佳学基因解码来阐明 C5 在年龄相关性黄斑变性 (AMD) 中的确切作用,并发现可能影响风险的基因变异。
2.5. 补体成分 9 (C9)
最近,编码补体成分 9 (C9) 的基因变异与年龄相关性黄斑变性 (AMD) 风险显著增加 和疾病进展到更晚期阶段 相关。C9 是终末补体途径中的关键蛋白,与 C5-C8 结合形成 MAC,如上所述 。晚期年龄相关性黄斑变性 (AMD) 患者的血清 MAC 浓度较高 。罕见变异 p.Pro167Ser (rs34882957) 与年龄相关性黄斑变性 (AMD) 显著相关 ,并且似乎与 C9 血清浓度升高 有关,以及与聚合速率增加 和溶血功能增加 有关。因此, C9 p.Pro167Ser变异可能代表获得功能突变,导致 MAC 形成增加和终末补体途径的溶解活性增加。其他罕见C9变异,如 p.Met45Leu、p.Phe62Ser 和 p.Ala529Thr,与年龄相关性黄斑变性 (AMD) 患者 C9 表达增加有关,尽管溶解活性并未增加,而其他变异,如 p.Arg118Trp 和 p.Thr170Ile,则被发现在 C9 水平未升高的情况下带来风险。相反,在日本人群中常见的无义 C9 突变 p.Arg95*对年龄相关性黄斑变性 (AMD) 的发展具有强大的(近 5 倍)保护作用,并且还与 VEGF 水平降低和进展为 MNV 风险降低相关。
2.6. 补体成分2(C2)和补体因子B(CFB)
6 号染色体上补体成分 2 ( C2 ) 和补体因子 B ( CFB ) 基因的罕见变异也与预防年龄相关性黄斑变性 (AMD) 发展具有强大的保护作用有关 。C2 和 CFB 在神经视网膜、布鲁赫膜和脉络膜中表达 ,分别作为经典和替代补体级联的激活剂发挥作用 。因此,降低这些酶功能的变异会抑制补体级联的活性 ,这可能解释了它们对年龄相关性黄斑变性 (AMD) 发展具有保护作用。这些变异包括C2 rs9332739、rs547154 和 rs429608,以及CFB rs9332739、rs547154、rs4151667 和 rs641153 。2012 年的两项荟萃分析发现,这些变异可将年龄相关性黄斑变性 (AMD) 风险降低近一半。在日本人群中,C2 rs547154 和CFB rs541862 还可防止 MNV 的发展。有趣的是,对于携带这些保护性C2和CFB变异的患者,补充抗氧化剂也被发现能更有效地延缓非渗出性年龄相关性黄斑变性 (AMD) 的进展。
2.7. 补体因子D(CFD)
最后,补体因子D (CFD) 也与AMD的发展有关。CFD通过裂解和激活CFB,在替代补体途径的激活中起限速酶的作用。已鉴定出六种CFD变异体(rs1683564、rs35186399、rs1683563、rs3826945、rs34337649和rs1651896)。这些变异体大多与AMD无显著关联。一项小型病例对照系列佳学基因解码发现rs3826945与AMD风险增加相关,但无法在单独的人群中证实这种关联。有趣的是,在两项 III 期试验(“Chroma”和“Spectri”, NCT02247479和NCT02247531 )的 48 周治疗期间,玻璃体内注射选择性 CFD 抑制剂 lampalizumab 并未发现与假手术相比能减少 GA 扩大。
3. 细胞外基质(ECM)重塑
细胞外基质 (ECM) 是由上皮组织层和内皮组织层之间的基质和基底膜组成的支持框架。视网膜细胞外基质 (ECM) 由五层视网膜基质 (BrM) 组成,连接脉络膜和视网膜色素上皮 (RPE) 。它在 RPE 的物理支持和重塑,以及 RPE 和脉络膜毛细血管之间的生物分子、氧气、营养物质和废物交换中起着至关重要的作用 。BrM 的结构受局部蛋白水解酶(称为基质金属蛋白酶 (MMP))与其组织抑制剂 (TIMP) 之间的平衡控制 。具体而言,MMP-1、MMP-2、MMP-3、MMP-9、TIMP-1、TIMP-2 和 TIMP-3 在 BrM 中的浓度较高,对维持其结构和功能至关重要 。
BrM 的结构和功能变化与年龄相关性黄斑变性 (AMD) 的发病机制密切相关。MMP 介导的 ECM 降解受损与衰老和黄斑变性有关,导致 BrM 增厚。随着 BrM 厚度的增加,其滤过能力下降,导致废物在局部积聚并形成视网膜黄斑硬化症。此外,BrM 通透性降低会损害 RPE 和脉络膜之间关键代谢物和营养物质的运输,最终导致 RPE 和感光细胞变性。因此,假设 MMP 和 TIMP 活性失衡可能在年龄相关性黄斑变性 (AMD) 发病机制中发挥作用。影响局部 MMP 和 TIMP 表达的几种基因变异与年龄相关性黄斑变性 (AMD) 风险相关。
3.1. 组织金属蛋白酶抑制剂(TIMP)
TIMP-3变异与年龄相关性黄斑变性 (AMD) 的发展密切相关 。TIMP-3 在毗邻 BrM 的 RPE 中表达 ,并直接定位于 ECM 。在老化的视网膜中,TIMP-3 在 BrM 中积聚 ,尤其是在年龄相关性黄斑变性 (AMD) 患者中 TIMP-3 浓度升高 。作为 MMP 的抑制剂,TIMP-3 过量会导致 ECM 周转受损 和 BrM 病理性增厚,从而导致 RPE 和感光细胞萎缩 。此外,TIMP-3 在生理上可作为血管生成强效的局部抑制剂,竞争性抑制 VEGF 与其受体结合 。 TIMP-3活性降低进而增加了视网膜VEGF活性和血管生成。值得注意的是,降低TIMP-3表达的基因变异是Sorsby眼底营养不良症的主要病因,这是一种罕见的常染色体显性遗传性黄斑营养不良症,在年轻时表现出新生血管性AMD的特征。
TIMP-3变异会显著增加年龄相关性黄斑变性 (AMD) 患者的遗传负担 。在 2016 年的 GWAS 中,Fritsche 等人发现TIMP-3的 9 种罕见变异与年龄相关性黄斑变性 (AMD) 风险增加 30 倍以上累积相关 。除了增加年龄相关性黄斑变性 (AMD) 的总体风险外,TIMP-3 功能障碍或抑制还被认为可能导致 MNV 的发展 。rs5754227 、rs713685 、rs743751 和 rs5749482 TIMP-3内含子变异与年龄相关性黄斑变性 (AMD) 风险增加特别相关。相反,一些佳学基因解码发现rs9621532 TIMP-3变体对年龄相关性黄斑变性 (AMD) 具有轻度至中度的保护作用,并且对 MNV 的发展具有保护作用——尽管其他佳学基因解码发现与年龄相关性黄斑变性 (AMD) 风险无关 。最后,尚未发现TIMP - 3变体 rs6518799、 rs756481 、 rs5749498、rs12170368 和 rs1427385 与年龄相关性黄斑变性 (AMD) 关联。除了TIMP-3之外,TIMP-2基因(特别是多态性 rs8179090)也已被发现,并发现其与年龄相关性黄斑变性 (AMD) 风险降低存在不一致的相关性 。
3.2. 基质金属蛋白酶(MMP)
多项佳学基因解码也表明 MMP 基因突变与年龄相关性黄斑变性 (AMD) 之间存在关联。MMP -2目前是该领域佳学基因解码最广泛的基因。Cheng 等人证实 rs243865 MMP-2多态性的 T 等位基因(TT 和 CT 基因型)可预防 AMD,而 Liutkeviciene 等人发现纯合 CC 基因型与年龄相关性黄斑变性 (AMD) 中的硬性视网膜黄斑硬化症发展之间存在关联 。相反,多项佳学基因解码,包括最近的荟萃分析 ,表明MMP-2 rs243865变异与年龄相关性黄斑变性 (AMD) 之间无统计学显著关联。除 rs243865 外,一项佳学基因解码发现MMP-2 rs2287074 变异对年龄相关性黄斑变性 (AMD) 具有保护作用,而 rs243866 和 rs2285053 变异尚未证明与年龄相关性黄斑变性 (AMD) 关联。
MMP -9 rs142450006 、rs3918241 、rs3918242 、rs4810482 、rs17576 和 rs17577 变异与年龄相关性黄斑变性 (AMD) 风险增高以及进展为 MNV 相关。同样,MMP-9 CA (13–27) 微卫星扩增变异也与进展为 MNV 相关,且风险与微卫星扩增的长度成正比 。
尚未发现MMP-1 (rs1799756) 、MMP-3 (rs3025058) 或MMP-7 (rs11568818) 的已知变异与年龄相关性黄斑变性 (AMD) 之间有关联。
3.3. 其他细胞外基质成分
其他编码 ECM 成分的基因也已被佳学基因解码与年龄相关性黄斑变性 (AMD) 的相关性。8 型胶原蛋白 α 1 (COL8A1) 是 VIII 型胶原蛋白的短链成分,存在于人眼许多成分的基底膜中,包括 BrM。COLA8A1 基因附近的常见基因变异 rs140647181与AMD 风险增加相关。COL8A1 基因本身的其他多种罕见蛋白质改变变异也与年龄相关性黄斑变性 (AMD) 独立相关。类似地,胶原基质蛋白编码基因COL10A1(编码 X 型胶原 α 链)和FRK(编码 fyn 相关激酶)附近的 rs1999930 基因变异也与年龄相关性黄斑变性 (AMD) 风险增加相关,因为它们在编码基质糖蛋白原纤维蛋白原 3 的EFEMP1基因中存在拷贝数变异。这些基因变异影响年龄相关性黄斑变性 (AMD) 风险的机制仍不清楚,尽管人们怀疑这些变异可能会改变 BrM 的完整性或导致 ECM 蛋白在 BrM 中积聚,形成视网膜黄斑硬化症。
4. 脂质代谢
BrM 中的脂质积累与年龄相关性黄斑变性 (AMD) 的发病机制密切相关 。与动脉粥样硬化动脉壁内膜类似,随着年龄的增长,脂质和胆固醇会在人类 BrM 中大量积累 ,导致 BrM 病理性增厚和功能障碍 。此外,RPE 基底外侧分泌含有载脂蛋白 B 和 E 的大脂蛋白(图 3),作为光感受的副产物进入 BrM 。在年龄相关性黄斑变性 (AMD) 中,BrM 中脂质清除率降低可能是视网膜黄斑硬化症 (drusen) 形成的关键机制 。脂质是视网膜黄斑硬化症 (drusen) 最重要的成分之一 ,占视网膜黄斑硬化症体积的 40% 以上 。含有载脂蛋白B和E的大脂蛋白由RPE向基底外侧分泌到视网膜基质(BrM)中;这些脂蛋白在RPE下空间积聚形成软性视网膜黄斑硬化症,也在视网膜下空间积聚形成类视网膜黄斑硬化症沉积物(也称为“假性视网膜黄斑硬化症”)。这些空间中脂质的病理性积聚直接导致AMD中的RPE和感光细胞丢失,因为RPE-感光细胞复合体和脉络膜毛细血管之间跨BrM的生物分子临界流动受损。视网膜黄斑硬化症的扩张还会通过将RPE细胞推入视网膜来破坏局部细胞结构,导致RPE变性和萎缩。此外,与动脉粥样硬化疾病一样,BrM 中的脂蛋白氧化及其诱发的局部炎症反应也可能在年龄相关性黄斑变性 (AMD) 的发病机制和进展中发挥关键作用。

图 3.脂蛋白的结构。脂蛋白是一种生化结构,负责在血液中运输不溶于水的脂质。它们由亲水外壳(表面涂层)和脂质核心组成,外壳由载脂蛋白、磷脂和未酯化的胆固醇组成,脂质核心由胆固醇酯和甘油三酯组成。
参与脂质代谢和胆固醇转运的蛋白质的几个基因的变异(图4)与AMD的风险相关。与高密度脂蛋白(HDL)结构和功能相关的基因尤其相关。HDL负责将多余的胆固醇从外周组织清除并转运到肝脏。HDL还通过抑制单核细胞活性发挥局部抗炎作用,并且是视网膜中叶黄素和玉米黄质的主要转运体。

图 4.人体内脂质的运输和代谢。载脂蛋白(例如A1、A2、B-48、B-100、C2、D和E)与水不溶性脂质结合,形成水溶性脂蛋白,例如乳糜微粒、极低密度脂蛋白 (VLDL)、低密度脂蛋白 (LDL) 和高密度脂蛋白 (HDL),从而使脂质(例如胆固醇、甘油三酯)能够通过血液运输。脂蛋白的形成过程由卵磷脂-胆固醇酰基转移酶 (LCAT) 等酶介导。脂蛋白携带的脂质到达目标组织后,会被外周组织中的脂蛋白脂肪酶 (LPL) 和肝脏中的肝脂肪酶 (LIPC) 等酶分解。
4.1. 载脂蛋白E(ApoE)
脂蛋白在人体内充当水不溶性胆固醇的运输载体。具体而言,高密度脂蛋白 (HDL) 介导的胆固醇向肝脏的转运是外周组织回收过量胆固醇的主要机制 。此类血浆脂蛋白的形成和代谢受相关载脂蛋白的调节 。载脂蛋白 E (ApoE) 显著参与调节神经组织中的胆固醇代谢和脂质转运 。因此,ApoE 功能障碍被发现在阿尔茨海默病和其他神经退行性疾病的发病机制中起着关键作用 。它也是视网膜黄斑硬化症 (drusen) 的主要成分 。因此,ApoE 一直是年龄相关性黄斑变性 (AMD) 佳学基因解码的重点。
APOE基因是最早与年龄相关性黄斑变性 (AMD) 相关的基因之一 。历史上已鉴定出三种主要的等位基因变体ApoE2、ApoE3和ApoE4,它们可产生结构和功能各异的蛋白质产物 。ApoE3等位基因最为常见,存在于全球超过 75% 的染色体中 ,它被认为是野生型、“中性”等位基因。ApoE4等位基因在全球的频率估计为 15% ,与预防AMD具有强大的保护作用。2006 年的一项荟萃分析估计,ApoE4等位基因可使罹患年龄相关性黄斑变性 (AMD) 的风险降低 40%。另一方面,ApoE2在全球范围内的估计频率为 8% ,几项独立佳学基因解码已将其与年龄相关性黄斑变性 (AMD) 风险略微增加相关,尽管最近一项大型荟萃分析并未发现ApoE2与年龄相关性黄斑变性 (AMD) 之间有任何关联 。一项针对巴西人口的大型佳学基因解码未能发现ApoE2与年龄相关性黄斑变性 (AMD) 之间的关联。然而,ApoE2可能通过上调血管生成因子在 MNV 的发病机制中发挥作用。
4.2. 肝脂肪酶(LIPC)
血浆 HDL 水平受肝脂肪酶 (LIPC) 的强烈调节 ,该酶在视网膜下腔表达,参与视网膜内脂质转运 。多项佳学基因解码表明,LIPC变体 (rs493258、rs10468017、rs9621532、rs11755724、rs493258、rs509859、rs12637095) 对年龄相关性黄斑变性 (AMD) 的发展具有保护作用 。其中两种LIPC变体——rs493258 和 rs10468017——与全身 HDL 水平升高明确相关 。然而,这些变异降低年龄相关性黄斑变性 (AMD) 风险的机制尚不清楚,因为单纯的 HDL 水平升高似乎并不能解释观察到的风险降低。事实上,HDL 水平升高可能反而与年龄相关性黄斑变性 (AMD) 风险增加有关。有佳学基因解码表明,这些变异可能会增加 HDL 介导的类胡萝卜素向视网膜输送的效率。罕见的LIPC rs13095226 和 rs3748391 变异也与年龄相关性黄斑变性 (AMD) 风险略有增加有关。最后,LIPC变异可能与抗 VEGF 治疗反应较差有关。
4.3. 胆固醇酯转运蛋白(CETP)
胆固醇酯转运蛋白 (CETP) 与年龄相关性黄斑变性 (AMD) 密切相关。CETP 通过将胆固醇酯从低密度脂蛋白 (LDL) 和极低密度脂蛋白 (VLDL) 转移到 HDL,在胆固醇从外周组织到肝脏的运输过程中发挥关键作用。在人类视网膜中,CETP 位于感光细胞外节和脉络膜毛细血管,参与局部脂质运输 。CETP的主要变异rs3764261 与年龄相关性黄斑变性 (AMD) 风险增加密切相关。值得注意的是,Wang 等人仅在调整病理性 CFH 变异后才注意到这种关联,这表明补体和脂质代谢途径之间存在重要的相互作用。另外两种CETP内含子变异与年龄相关性黄斑变性 (AMD) 相关:rs5817082 与年龄相关性黄斑变性 (AMD) 风险略微降低相关,而 rs17231506 与年龄相关性黄斑变性 (AMD) 风险略微升高相关。奇怪的是,CETP rs17231506 与 HDL 水平升高相关,类似于LIPC rs493258,但这两种基因变异似乎对年龄相关性黄斑变性 (AMD) 发病机制有相反的影响。
4.4. ATP结合盒转运体A1(ABCA1)
ATP 结合盒转运体 A1 (ABCA1) 蛋白通过启动 HDL 的形成 并介导细胞胆固醇外排到细胞外空间,HDL 可能在细胞外空间将其结合并转运回肝脏 ,在清除多余组织胆固醇方面发挥重要作用。在基因敲除小鼠模型中,ABCA1 完全缺失会导致视网膜脂质积聚和 RPE 变性 ,而在体外 RPE 细胞模型中,ABCA1 表达增加则可导致脂质积聚减少 。基于 rs1883025 ABCA1变异的人群佳学基因解码表明,其两个等位基因的作用相反;C 等位基因通常与血浆 HDL 水平升高和年龄相关性黄斑变性 (AMD) 风险增加相关,而 T 等位基因与 HDL 降低和年龄相关性黄斑变性 (AMD) 风险降低相关 。 2016 年的一项荟萃分析也证实了 rs1883025 T 等位基因的保护作用。同样,rs2740488 变异的 A 等位基因与年龄相关性黄斑变性 (AMD) 风险增加相关,而 C 等位基因则与风险略有降低相关。
4.5. 脂蛋白脂肪酶(LPL)
最后,脂蛋白脂肪酶 (LPL) 是一种在人体内普遍表达的酶,在脂蛋白甘油三酯代谢为血液中的游离脂肪酸的过程中起着关键作用 。单个基因间LPL变异体 rs12678919 已在年龄相关性黄斑变性 (AMD) 的背景下进行了分析,但结果不一致。多项佳学基因解码表明 rs12678919 与年龄相关性黄斑变性 (AMD) 之间没有统计学上的显著关联 。然而,有两项佳学基因解码表明该变异体与风险增加有关 。与CETP一样,Wang 等人进行的荟萃分析仅在调整CFH基因突变后才发现LPL rs12678919 与年龄相关性黄斑变性 (AMD) 风险之间存在密切关联,这可能解释了先前佳学基因解码的不同发现。
5.血管生成
血管生成途径与新生血管性AMD晚期阶段的MNV发展有关。MNV涉及从脉络膜生长到RPE下或视网膜下空间,或两者兼而有之的新异常血管的增殖。人们提出了各种假设来解释这种现象。主要认为视网膜下血管生成受RPE控制,RPE在缺血状态下分泌VEGF来刺激内皮细胞增殖。因此,VEGF被认为是新血管形成的主要驱动力,目前是治疗新生血管疾病的主要靶点。RPE还分泌色素上皮衍生因子(PEDF),一种有效的血管生成抑制剂,从而可以通过PEDF活性调节新血管形成。也有佳学基因解码表明,某些 ECM 成分可以在失调状态下刺激血管生成 。
5.1. 血管内皮生长因子(VEGF)
VEGF 由七种生物活性亚型组成(图 5),其中 VEGF-A 在血管生成中起着最重要的作用。VEGF-A 是一种糖蛋白,主要靶向内皮细胞,刺激其增殖、迁移和血管形成,同时抑制细胞凋亡。因此,VEGF-A 水平升高与一系列眼部新生血管疾病有关。已鉴定出多种VEGF-A变体,但令人惊讶的是,其中大多数与年龄相关性黄斑变性 (AMD) 没有强烈或持续的关联。然而,VEGF-A rs3025033 变体和单倍型 rs1570360A-rs699947A-rs3025033G-rs2146323A 最近与新生血管性年龄相关性黄斑变性 (AMD) 风险较低相关。相反,VEGF-A rs3025039 C 等位基因可能增加年龄相关性黄斑变性 (AMD) 的风险,尽管似乎仅在 rs1048661 赖氨酸氧化酶 1 ( LOXL1 ) 基因变异的背景下 。VEGF -A rs3025000 变异的 T 等位基因增加了 MNV 患者对抗 VEGF 治疗产生临床反应的可能性 ,这种效应尚未在其他 VEGFA 等位基因中得到证实 ,并且与 VEGF 治疗反应的表型预测因子相比可能相对较小 。

图 5.血管内皮生长因子 (VEGF) 亚型及其受体 (VEGFR)。
5.2. 纤维蛋白原 5
纤维蛋白原 5 (FBLN5) 是一种 ECM 蛋白,定位于 RPE 下沉积物和视网膜黄斑硬化症,并通过拮抗 VEGF在调节血管生成中发挥作用。佳学基因解码发现,AMD 患者分泌 FBLN5 的速度降低。高达 2% 的年龄相关性黄斑变性 (AMD) 患者可发现错义FBLN5和其他纤维蛋白原基因突变,这表明纤维蛋白原功能障碍可能在年龄相关性黄斑变性 (AMD) 发病机制中发挥作用。
6. 氧化应激反应和光感受器存活
黄斑变性病理生理过程的共同终点是 RPE 变性,随之而来的是感光细胞死亡和功能障碍。视网膜细胞 DNA 的直接氧化损伤可能会加速这一过程,从而直接导致细胞凋亡。因此,增加对氧化损伤敏感性和损害感光细胞存活的基因突变可能在年龄相关性黄斑变性 (AMD) 发病机制中发挥作用。例如,RAD51基因家族在 DNA 修复和防止氧化损伤中起着关键作用。RAD51B 的几种罕见突变与年龄相关性黄斑变性 (AMD) 风险显著增加相关,并且在年龄相关性黄斑变性 (AMD) 患者中已观察到 RAD51B 血清浓度异常降低。
类似地,肿瘤坏死因子受体超家族成员 10a (TNFRSF10A),也称为死亡受体 4 (DR4),在促进细胞凋亡中起关键作用,并且可以定位于 RPE。TNFRSF10A表达降低与小鼠 RPE 细胞活力下降和凋亡易感性增加相关 。TNFRSF10A突变与年龄相关性黄斑变性 (AMD) 风险增加相关,尤其是在亚洲人群中 。
最后,切除修复交叉复合物 (ERCC) 与年龄相关性黄斑变性 (AMD) 易感性相关。ERCC6 在 DNA 突变的转录偶联切除修复中发挥作用。佳学基因解码发现,AMD 患者的视网膜 ERCC6 表达降低。ERCC6基因突变与年龄相关性黄斑变性 (AMD) 风险增加的相关性尚不明确 ,并且可能与CFH突变具有协同作用。
7. 涉及多条通路的基因
年龄相关性黄斑病变易感性 2 (ARMS2) 和高温需求因子 A 丝氨酸肽酶 1 (HTRA1)
最早发现、最重要的年龄相关性黄斑变性 (AMD) 易感基因位点之一是 10q26 染色体上跨越年龄相关性黄斑病变易感性 2 ( ARMS2 ) 基因编码区和高温需求因子 A 丝氨酸肽酶 1 ( HTRA1 ) 基因启动子的区域 。ARMS2 -HTRA1区域是白种人和东亚人的主要易感基因位点 ,与CFH一起占年龄相关性黄斑变性 (AMD) 相关遗传风险的一半以上 。值得注意的是,与携带CFH变异的患者相比, ARMS2-HTRA1基因座突变的患者进展至晚期疾病的可能性要高出两倍多,并且ARMS2-HTRA1变异也与疾病进展更快有关 。
在ARMS2-HTRA1基因座中发现了多种高危基因变异。这些变异处于高度连锁不平衡 (LD)状态,迄今为止的大多数佳学基因解码无法在统计学上区分它们。因此,目前尚不清楚 ARMS2 和 HTRA1 中哪一个基因导致AMD风险增加 。此外,ARMS2和HTRA1的确切结构和功能仍不清楚。
局部 ARMS2 功能障碍可能在氧化应激和视网膜损伤中发挥作用。早期佳学基因解码表明, ARMS2 定位于感光细胞和 RPE 细胞的线粒体外膜 ,尽管这一发现存在争议。也有人认为 ARMS2 定位于核周细胞质或内质网,这表明存在一种增加AMD风险的非线粒体机制。最后,ARMS2 最近被认为与巨噬细胞分泌的局部炎症反应有关,该反应可激活补体级联并清除细胞碎片。另一方面,HTRA1 参与了广泛的生理过程,包括 ECM 重塑和 TGF-β 细胞因子信号传导 。其最突出的作用似乎是在 ECM 沉积、血管生成和局部视网膜下炎症的调节中 。还有人假设 HTRA1 在衰老视网膜中维持 RPE-BrM-脉络膜界面起着关键作用 。因此,降低 RPE-BrM 界面处 HTRA1 表达的高危变异型可能会因失去其对抗年龄增长影响的保护功能而导致年龄相关性黄斑变性 (AMD) 表型 。最近一些人认为,迄今为止的证据支持HTRA1而不是ARMS2是与年龄相关性黄斑变性 (AMD) 相关的两个因素的主要致病遗传因素 。
HTRA1基因变异rs11200638 位于HTRA1启动子区,与ARMS2错义变异 rs10490924存在强 LD 。两者都与年龄相关性黄斑变性 (AMD) 风险增加 和疾病发病年龄较年轻 密切相关。ARMS2 rs10490924与 C 反应蛋白水平升高相关 ,表明炎症机制在起作用。有趣的是,虽然ARMS2 rs10490924 G 等位基因与疾病进展至晚期阶段的风险增加相关,但 G 等位基因也与进展为新生血管疾病的患者对抗 VEGF 治疗产生 MNV 反应的可能性更高相关,尤其是在东亚人群中。HTRA1 rs11200638与抗 VEGF 治疗产生反应的可能性增加之间也已证实存在类似的相关性。ARMS2 rs10490924变异在亚洲人群的年龄相关性黄斑变性 (AMD) 发展中似乎也发挥着比在欧洲人群中更突出的作用,风险等位基因频率分别为 40% 和 20% 。由于 ARMS2 功能障碍与新生血管疾病的进展略有关联,等位基因分布的这些差异可能部分解释了亚洲人群中 MNV 的患病率高于欧洲人群。[
另外一个不稳定的ARMS2插入缺失变异体 c.*372_815del443ins54 与ARMS2 rs10490924 和HTRA1 rs11200638完全 LD也与年龄相关性黄斑变性 (AMD) 风险增加和进展为 MNV 密切相关 。然而,它对 HTRA1 和 ARMS2 表达和功能的影响尚不清楚,而且它带来的风险很难与 rs10490924 和 rs11200638 相关的风险区分开来 。另一个ARMS-HTRA1变异体 rs2284665 也被发现与 MNV 的发展显着相关 。最后,无义ARMS2变异体 rs10490924 尽管降低了 ARMS2 表达,但似乎对年龄相关性黄斑变性 (AMD) 风险没有影响 。
除HTRA1 rs11200638外,其他变异(例如 rs1049331、rs2293870 和 rs2284665)也被确定与年龄相关性黄斑变性 (AMD) 进展密切相关 。这些HTRA1突变赋予风险的机制尚不清楚。HTRA1 介导的细胞凋亡抑制 和胰岛素样生长因子 1 (IGF1) 受损可能发挥作用。此外,HTRA1 rs2284665可能会增加淋巴细胞和其他部位的 HTRA1 表达 ,尽管这尚未得到一致证实。
8.结论
年龄相关性黄斑变性 (AMD) 是一种复杂且多因素的疾病,佳学基因因为基因解码技术的使用而更趋完全了解。目前认为,涉及补体系统、细胞外基质重塑、脂质代谢、血管生成和氧化应激反应的多种致病途径相互交织,导致各种形式的 AMD。年龄在疾病发展风险中起着重要作用,吸烟和饮食等环境因素是预防年龄相关性黄斑变性 (AMD) 的重要且可改变的风险因素。尽管年龄相关性黄斑变性 (AMD) 发病较晚,但已证实其具有很强的遗传成分,并且已发现多种影响这些关键途径的基因变异会显著影响疾病风险。随着全基因组关联佳学基因解码 (GWAS) 的出现,迄今为止已鉴定出至少 52 个独立的基因变异和 34 个基因位点,占遗传风险的 50% 以上 。目前已有市售测试(例如佳学基因眼科基因检测项目)可评估是否存在影响这些途径的基因变异。此类检测可通过将遗传信息与其他疾病相关因素(如年龄、吸烟状况、对侧眼状况和体重指数)相结合的算法来评估个体化风险和预期治疗反应。虽然由于获批的基因靶向治疗方式匮乏 ,基因检测的效用也有一定的局限性,但目前正在开发的基因疗法对未来实施可显著改变AMD病程的个体化干预措施充满希望。因此,未来对AMD的分子和药物遗传学佳学基因解码可能成为治愈这一目前全球最常见的无法治愈的失明原因的关键。
(责任编辑:佳学基因)