【佳学基因检测】变异性红斑角化症(EKV)基因检测案例介绍
背景概述
间隙连接由连接蛋白(Connexins, Cx)组成,参与细胞间及细胞与外界环境之间的信息传递,允许离子和小分子的自由通过,从而在胚胎发育及多种疾病过程中发挥重要作用。连接蛋白31(Cx31)是此类蛋白的重要成员之一,由GJB3基因(NM_024009.3)编码,在表皮上层和耳蜗中高表达。其突变可引起包括变异性红斑角化症(EKV)和非综合征性听力损失(NSHL)在内的多种疾病,症状轻重不一,表现可涵盖先天性耳聋至进展性听力下降等。
变异性红斑角化症(EKV)是一种罕见的常染色体显性遗传性皮肤病,以短时间内出现或变化的红斑与角化斑块为特征,病因主要与 GJB3、GJB4 和 GJA1 等连接蛋白家族基因突变相关(Ishida-Yamamoto, 2016)。其中 GJB3 突变表现的临床异质性显著,从典型角化斑到厚达 2 厘米的疣状角化都有报道(Glatz et al., 2011)。
NSHL 是另一种由 GJB3 等基因突变引起的疾病,表现为不伴有其他身体缺陷的听力障碍,可为显性或隐性遗传。Cx31 编码产物的功能异常与从轻度晚发性耳聋到先天性重度耳聋等多种表型相关(Meena and Ayub,2017)。
案例介绍
本案例描述了一个中国家庭,其成员中出现了 EKV、鱼鳞病和 NSHL 等多种临床表型。佳学基因检测通过全外显子组测序(WES)与 Sanger 测序,发现该家系中存在相同的 GJB3 杂合错义突变 c.293G>A(p.R98H),提示该突变可能具有多重致病性。
患者临床表现
先证者为一名 6 岁女孩,表现为边界清晰、红棕色、环状红斑(见图1A-C),主要分布于右下肢、胸部右侧和腰部,伴有角化过度的鳞屑斑块。她的症状在 6 个月前首次出现,无毛发、指甲或听力异常。其母亲表现为角化性鱼鳞病,其弟弟则在新生儿期被确诊为 NSHL,父亲无临床表现(见图2A)。

图1:先证者临床图像显示右下肢伸肌侧(A)、腰部(B)和患者胸部右侧(C)有边界清晰的环状红棕色斑块。
遗传检测
使用 Illumina Novaseq 平台对患儿及母亲进行 WES,平均测序深度为100X,同时对弟弟进行 NSHL 相关基因的 Sanger 测序。分析发现患儿、母亲和弟弟均存在 GJB3 基因 c.293G>A(p.R98H) 的杂合突变,仅父亲未携带该变异。
该突变位于 Cx31 第二跨膜结构域与胞内区交界处,将碱性精氨酸(R)置换为弱碱性组氨酸(H),可能影响蛋白的构象与功能(见图2B-D)。

图2:家系图(A)及先证者(B)、其母(C)、其父(D)的WES结果。(A)箭头指向先证者,黑色代表EKV,绿色代表NSHL,蓝色代表鱼鳞病。(B,C)先证者及其母均存在GJB3基因c. 293G>A的异源性错义突变。(D)先证者父未发现GJB3基因突变(c. 293G) 。
病理结果
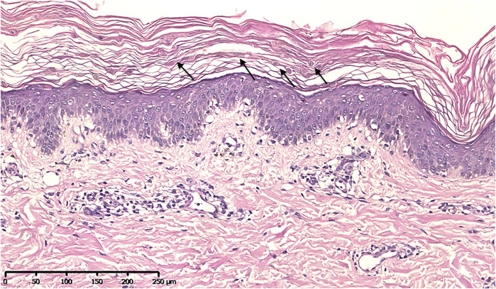
皮肤活检显示颗粒层细胞显著增多,伴有角化不良,棘层肥厚和轻度表浅血管周围淋巴细胞浸润(见图3),符合 变异性红斑角化症(EKV)的病理特征。

图3:组织病理学图像显示颗粒层中有许多伴有角化不良的颗粒细胞、棘层肥大、乳头状瘤病以及轻度浅表血管周围淋巴细胞浸润(H&E)。
基因解码与解读
GJB3 编码的 Cx31 在表皮和耳蜗均高度表达,通过形成间隙连接参与皮肤角化和听觉功能。连接子可以由同种或不同种类的连接蛋白组成,构成复杂的细胞通信网络。Cx31 的突变会破坏这种网络,进而引发皮肤和听力的多种表型。
该家系中发现的 R98H 突变,不仅与 变异性红斑角化症(EKV)发病相关,同时出现在 NSHL 和鱼鳞病患者中,提示该突变具有 表型多样性(phenotypic heterogeneity)。此前也有报道指出,GJB3 的突变可能导致 EKV、NSHL 或其他角化病症,具有复合遗传与功能机制。
此外,本案例强调了基于WES 联合家系分析在罕见疾病诊断中的重要价值,尤其在临床表型异质性强、病因复杂的疾病中,具有明确的指导意义。
(责任编辑:佳学基因)